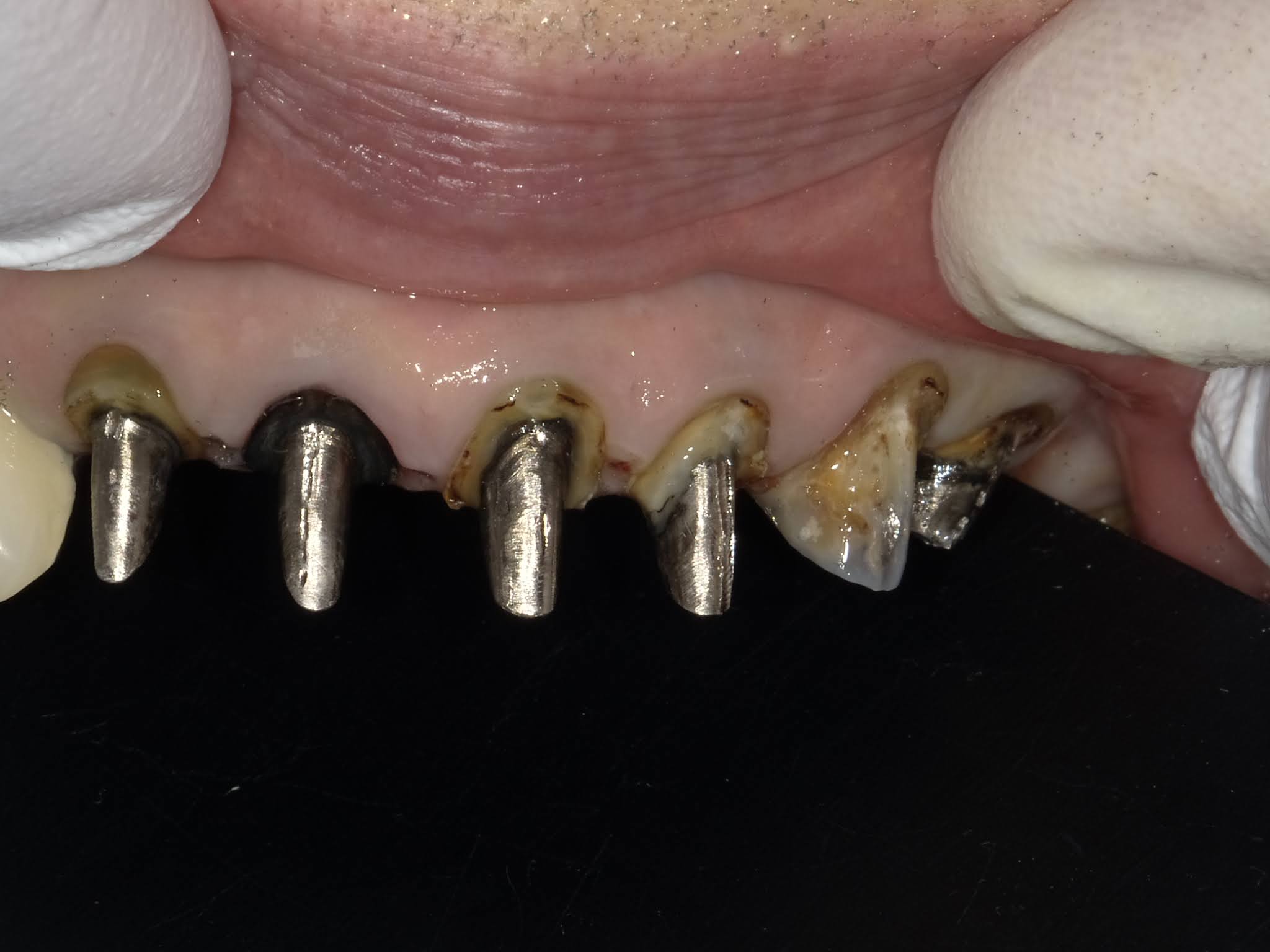
今朝、30年程前のPFMという事で、マージンが黒く目立ってきたのでやり替えましょうと言う予定が昨年決まっていたので、前歯5歯を除去した。70代の女性。
当時のPFMのトレンドな形成で、ベベルドショルダーの形成が、支台歯はやや細いながらも非常に美しく残っていた。メタルコアも適正な深さでフェルールの不足をカバーしている。アピカルにはリージョンもない。多少コロージョンにおける黒変歯質はあるけれど、スーパーボンドでキチンとセットされているように見えメタルコアのマージンも特に問題はないような気がする。30年以上経過とは恐れ入谷の鬼子母神(笑)。このまますぐ再形成して印象がとれる。
30年前とはいえ、こんなにキチンと処置をしていた先生がいたんだと除去しながら酷く感心した。そこで、おそるおそる、、、、
「え〜っと、これ、ものすごくキチンと作ってあるんですけど、もし良かったらドコの先生のところでやってもらったか教えてくれませんか?」
「、、、、、、、、、えっ? 」
「いや、良かったらで良いんですけどね」
「何言ってんの?せんせいだぁよ(笑)。」「若かったよねぇ(笑)」
「、、、、、、、、、えっ?」(苦笑)
古いカルテが、マイクロPDF保存作業中で手元になく確認できませんでした。自画自賛を患者に話してしまい酷く照れる。
皆さん、妥協せずにキチンとやりましょう。良い事が待っています(笑)。

コメント
コメントを投稿